Vintage Pattern
Exaude United States Exaude United States
Partly cloudy
5.1 °C US, Chicago
2 min read 184 Views Editorial Staff

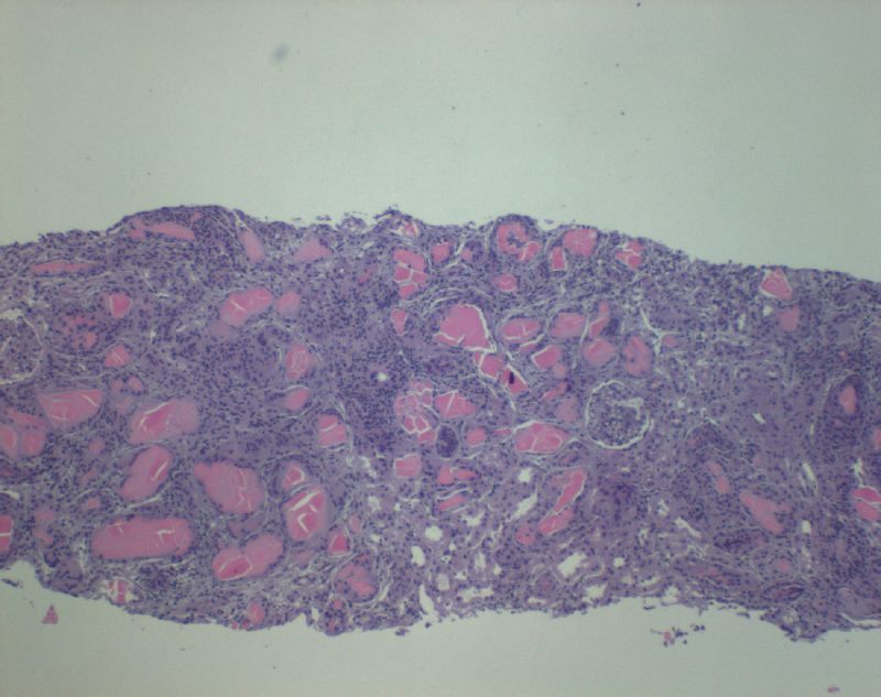
What Causes Myeloma - Leading Causes

It is important to understand what causes myeloma if you want to address it properly since it has become an [...]

I t is important to understand what causes myeloma if you want to address it properly since it has become an issue that affects a significant number of people every year. This is a condition that affects the bone marrow. Close to five thousand people are diagnosed with this condition every year. This translates to about fifteen people being diagnosed on a daily basis. This is a significant number of new victims thus should not be ignored. Statistics indicate that myeloma is more common in blacks than it is in Whites and Asians. In addition, it affects more women than men. This means that there should be a specific approach when dealing with this condition. The first thing you ought to do when you suspect the presence of this condition is to know the risk factors. The true causes of myeloma are not known clearly. You need to understand the risk factors. These aspects are likely to increase the chances of the condition occurring. Generally, myeloma is uncommon in people below the age of 40 years as it increases as one advances in age. However, it is important to note that just because you have exhibited more than one risk factor this is not an indication of contracting the condition. Always visit the doctor to ensure that you are not in danger since the only way to know for sure is to test. Family history If you have a family member that has suffered from myeloma at one point then you should visit a specialist as soon as you discover any symptoms. People with a history of the condition in their families have a higher risk of contracting the condition. The risk is two to three times more for such individuals. Decreased immunity Any person taking drugs to boost their immunity due to an organ transplant is at a higher risk of contracting the condition. However, this should not be a reason for people to panic and worry. Usually, less than one percent of people who have undergone organ transplant contract myeloma. This translates to a maximum of one person out of 100. HIV patients also have a higher risk of contracting this condition because of their weakened immune system. Even though what causes myeloma may not be clear right now, it is important to understand the risks early enough if you are to improve your quality of life. [photo: www.flickr.com]